- Digital or Analog Case Submission — Achieve a predictable outcome whether you choose to send scans or VPS impressions
- Strength and Esthetics — Provide a beautiful, durable restoration that you and your patients can trust for life
- Versatile Options — Choose from a full range of solutions, from copy-mill services to complete design of your restoration
- Efficient Workflow — Detailed clinical technique guides and checklists to assist you with every step of the restorative process
BruxZir® Full-Arch Implant Prosthesis
*Price does not include shipping or applicable taxes and may vary when original equipment manufacturer (OEM) components are requested or required. No additional charge for multi-unit abutments. Copy mill service is also available.
Constructed from 100 percent solid zirconia, the BruxZir® Full-Arch Implant Prosthesis is a lifelike, high-strength solution for All-on-X cases backed by a lifetime warranty and expert technical support throughout the restorative process.
A Long-Lasting Solution Whether Your Priority is Strength or Esthetics
Constructed from 100 percent solid zirconia, the BruxZir Full-Arch Implant Prosthesis provides the same superior stability and function as the screw-retained hybrid denture, but with a monolithic construction that avoids the chips, stains and fractures that can compromise acrylic appliances. With superior fracture toughness and an average flexural strength of > 1,000 MPa, BruxZir Zirconia is the ideal material for withstanding the functional stresses that full-arch restorations must endure. And yet, the material is gentle to opposing dentition and hypoallergenic.
Glidewell offers the full range of full-arch implant solutions and expert clinical support throughout the restorative process, whether you prefer an analog or digital workflow.
Analog Case Submission:
- To provide your patient with a new full-arch implant restoration beginning with physical VPS impressions, find our detailed step-by-step appointment guide here.
- To have a BruxZir Full-Arch Implant Prosthesis copy milled from a final, fully approved prosthesis, send in the patient’s existing prosthesis using this Rx.
Digital Case Submission:
- To provide your patient with a new full-arch implant restoration beginning with digital impressions, refer to our clinical appointment guide found here or call 866-861-7955 for assistance with our complete design and milling service.
- To have a BruxZir Full-Arch Implant Prosthesis copy milled from a final, fully approved prosthesis, find our detailed step-by-step appointment guide here.
- For maximum accuracy, we recommend submitting your copy-mill case via one simple extraoral scan using Inclusive® MUA EOScan Bodies, following the step-by-step appointment guide found here.
- To have a BruxZir Full-Arch Implant Prosthesis milled from a final digital design file, find our detailed step-by-step appointment guide here.
OPTISPLINT® Digital Workflow:
- Glidewell is proud to partner with Dual Arches to offer OPTISPLINT as means of simplifying the digital workflow and achieving a passive, high-precision fit for your final full-arch restoration. See our OPTISPLINT clinical workflow here, and call 866-861-7955 to order the OPTISPLINT directly through Glidewell.
A provisional try-in implant prosthesis is included with our complete design service to ensure that the patient and doctor are satisfied with the prosthetic design before the final restoration is milled from monolithic zirconia. All-digital copy mill services include a provisional try-in to ensure a passive fit prior to milling the final restoration. For analog copy milling from an approved setup or milling from a final design file, a provisional try-in implant prosthesis can be requested for an additional fee. Whatever your chosen workflow, we offer the clinical support needed to achieve a highly accurate restorative outcome.
For cases where a titanium understructure is desired, the BruxZir Full-Arch Implant Prosthesis can be fabricated over a high-strength titanium bar for an additional fee.
Note: The maximum strength BruxZir Full-Arch Implant Prosthesis is ideal for patients who have a strong bite, grind, or have damaged previous restorations. For maximum esthetics, we recommend the BruxZir Esthetic Full-Arch Implant Prosthesis.
Also available for partial-arch indications: The BruxZir Partial-Arch Implant Prosthesis is a more durable replacement for removable partial dentures.
Monthly Prescriptions: BruxZir Full-Arch Implant Prosthesis vs. Screw-Retained Hybrid Denture
Since the product’s release in 2013, monthly prescriptions for the BruxZir Full-Arch Implant Prosthesis have steadily outpaced screw-retained hybrid dentures as clinicians have sought out a more durable implant solution for fully edentulous patients.
Clinical Studies
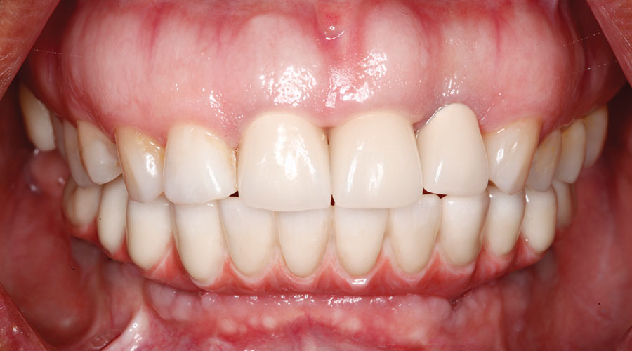
BEFORE: The patient, who sought treatment for untreatable maxillary dentition and a poorly functioning lower denture, requested a fixed implant solution.
AFTER: Because the final BruxZir restorations were exact replicas of the approved provisional try-in implant prostheses, the fit, esthetics and function met the precise expectations of the patient.
– Clinical dentistry by Paresh B. Patel, DDS
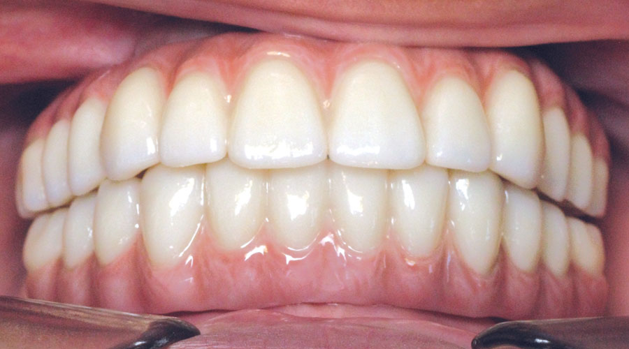
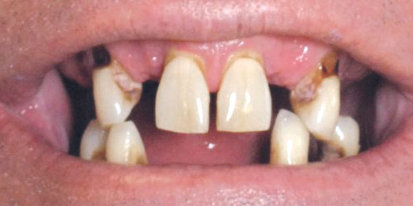
BEFORE: This patient had limited interocclusal space, recurrent decay, malocclusion, and missing mandibular and maxillary dentition.
AFTER: After a period with an interim prosthesis to increase vertical dimension, a BruxZir Full-Arch Implant Prosthesis was delivered on the mandibular ridge, providing exceptional resistance to the forces of bruxism.
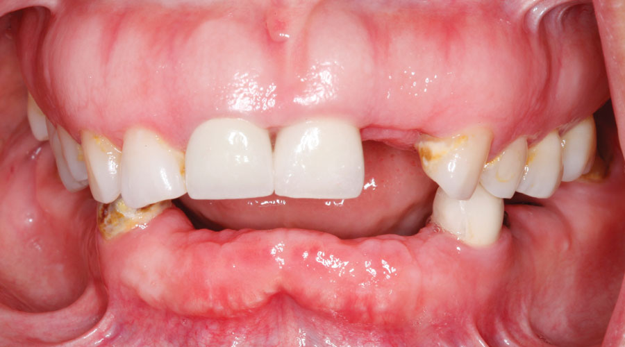
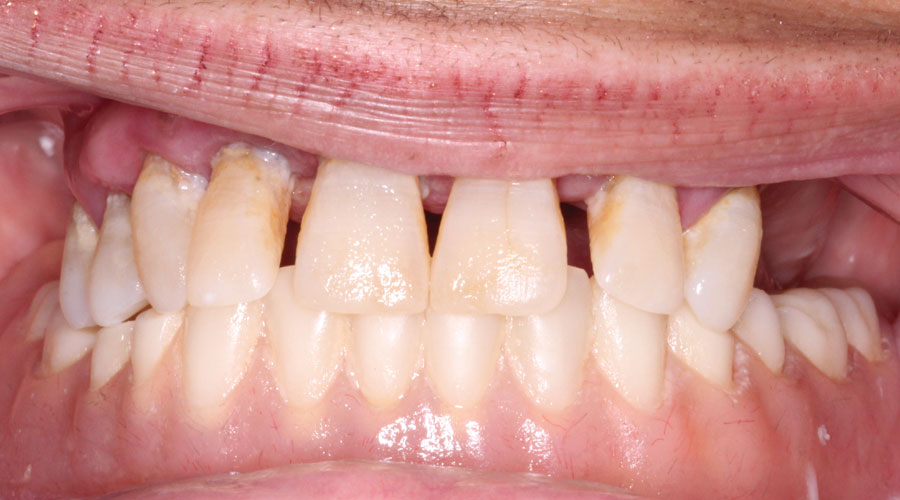
BEFORE: Preoperative condition of a patient who had a high lip line, severe cervical decay on the remaining teeth, and lack of gingival support.
AFTER: The final BruxZir Solid Zirconia Full-Arch Implant Prosthesis restored form, function and quality of life, completing a dramatic oral reconstruction for a patient who had terminal dentition.
- Slide 1
- Slide 2
- Slide 3
I believe monolithic zirconia is one of the most significant advancements in implant prosthetics. Glidewell is at the forefront of this technology. There is an easy-to-understand, set protocol for doctors to follow. With the BruxZir Full-Arch Implant Prosthesis, Glidewell has simplified the process.
Acrylic hybrid dentures all have a common problem: They eventually break. Now, instead of repairing the hybrids, I’m replacing them with BruxZir full-arch restorations. It’s worth it to know I’m providing a long-lasting solution and I won’t be seeing the patient come in with a broken prosthesis.
- Slide 1
- Slide 2
Indications
The BruxZir Full-Arch Implant Prosthesis is indicated as a fixed restorative solution for the fully edentulous arch.
Material Composition
100% monolithic zirconia with titanium connections
Strength Characteristics
> 1,000 MPa of flexural strength
In-Lab Working Times
Full Service from VPS Impressions:
- Implant verification jig, custom tray and wax rim: 9 days
- Wax setup: 5 days
- Provisional try-in implant prosthesis: 6 days
- Final BruxZir Full-Arch Implant Prosthesis: 8 days
Full Service from Digital Impressions:
- Provisional try-in implant prosthesis: 6 days
- Final BruxZir Full-Arch Implant Prosthesis: 8 days
Copy Mill from Physical Case Submission:
- Provisional try-in implant prosthesis prosthesis (optional): 6 days
- Final BruxZir Full-Arch Implant Prosthesis: 8 days
Copy Mill from Digital Case Submission:
- Provisional try-in implant prosthesis: 6 days
- Final BruxZir Full-Arch Implant Prosthesis: 8 days
Mill from Design File
- Provisional try-in implant prosthesis (optional): 6 days
- Final BruxZir Full-Arch Implant Prosthesis: 8 days
Available Shades
- Tooth shades: A1, A2, A3, A3.5, A4, B1, B2, B3, B4, C1, C2, C3, C4, D2, D3, D4
- Gingival shades: G00 (Lightest), G0 (light), G1 (Standard), G3 (Med), G4 (Dark), G5 (Darkest)
Pricing
|
BruxZir Full-Arch Implant Prosthesis
Includes up to six multi-unit abutments and two full-arch provisional try-in prostheses. Any additional provisional try-in prostheses incur a fee of $334 each. Additional multiunit abutments incur a fee of $116 each. |
$3,433.001 |
|
Copy mill from approved setup for provisional and full-arch zirconia prosthesis
|
$1,914.00 |
|
Copy mill from approved setup for full-arch zirconia prosthesis
|
$1,712.00 |
|
Duplicate Provisional Try-In Implant Prosthesis(copy mill cases)
|
$460.00 |
|
With titanium bar – total price(zirconia prosthesis over hybrid bar)
|
$4,150.00 |
|
BruxZir Partial-Arch Implant Prosthesis
5–7 units, includes Partial-Arch Provisional Try-In Implant Prosthesis |
$1,813.00 |
Half of payment is due after first appointment; half is due at final delivery.
Note: Prices may vary when original equipment manufacturer (OEM) components are requested or required for the chosen implant system.
Pricing is subject to change and does not include shipping or applicable taxes.
Service Options
All Services Available with Analog or Digital Workflow:
- Full Service from VPS Impressions: Includes final prosthesis, provisional try-in implant prosthesis, labor, model work, analogs, setups, wax rims, try-ins, and custom trays with implant verification jig. No additional charge for multi-unit abutments.
- Full Service from Digital Impressions: Includes final prosthesis, provisional try-in implant prosthesis, labor, virtual model work and complete CAD design. No additional charge for multi-unit abutments.
- Copy Mill With Provisional from Final Setup: Copy-mill from approved setup for provisional and full-arch zirconia prosthesis
- Copy Mill Without Provisional from Final Setup: Copy-mill from approved setup for full-arch zirconia prosthesis
- All-Digital Copy Mill: Includes final prosthesis, provisional try-in implant prosthesis and labor.
- Mill from Design File: Includes final prosthesis and labor.
Implant System Compatibility
Flat-rate price available for BIOMET 3i™ Certain®; CAMLOG® SCREW-LINE; DENTSPLY Implants ANKYLOS® C/X and ASTRA TECH Implant System®; Glidewell HT™ Implant System; Hahn™ Tapered Implant System; HIOSSEN® HG System; Inclusive® Tapered Implant System; MegaGen AnyRidge® Implant System; Nobel Biocare Brånemark System® RP, NobelActive® and NobelReplace®; Straumann® Bone Level; and Zimmer Dental Screw-Vent®. Prices may vary for other implant systems due to the need for original equipment manufacturer (OEM) components.
Inclusive is a registered trademark of Prismatik Dentalcraft, Inc. Glidewell HT and Hahn are trademarks of Prismatik Dentalcraft, Inc. All other trademarks are property of their respective owners.
Policies & Warranty
NO-FAULT REMAKE POLICY: Glidewell is pleased to process all remakes or adjustments at no additional charge if requested within the warranty period and accompanied by the return of the original appliance.
NOTE: For copy-mill service, remakes or adjustments are not permitted unless due to manufacturer workmanship issues, such as fracture, incorrect shade and debonding. Design changes are not covered under warranty for restorations fabricated via the copy-mill service.
LIMITED WARRANTY/LIMITATION OF LIABILITY. Glidewell (“the lab”) warrants that all dental devices (a “device”) are made according to your specification and approval in the belief that the device will be useful and MAKES NO OTHER WARRANTIES INCLUDING, BUT NOT LIMITED TO, ANY IMPLIED WARRANTY OF MERCHANTABILITY OR FITNESS FOR A PARTICULAR PURPOSE. Subject to the return of a device that is placed and then fails, the lab will repair or replace the device without charge for the cost of materials and workmanship or refund the original price paid, at the lab’s option, for the life of the patient originally receiving the restoration from the date of placement for the BruxZir Full-Arch Implant Prosthesis and 60 days for the provisional implant prosthesis.*
*Warranty is provided to the prescribing dentist and is nontransferable. For complete warranty details, go to glidewell.com/policies-and-warranties.