- One-piece hybrid combining features of screw- and cement-retained restorations
- Seated on custom abutments to correct implant angulation and create a natural emergence profile
- Crowns milled with screw access hole for quick seating and easy retrievability
- Cemented in-lab

Screwmentable Implant Restoration
*Price is per unit and does not include shipping or applicable taxes. Price shown is for BruxZir Full-Strength crown with custom abutment. Available in single units only.
"Screwmentable" crowns from Glidewell offer a hybrid approach to implant restoration. By combining features of screw- and cement-retained, doctors get another tool in their arsenal for tackling various restorative challenges.
Get the Best of Both Worlds
“Screwmentable” crowns from Glidewell offer a hybrid approach to implant restoration. A custom abutment is designed to support a cementable restoration, but the crown is created with a screw access hole and cemented to the abutment in-lab. NOTE: Crown and Abutment can be provided separately upon request. This creates a one-piece restoration that corrects for implant angulation, offers the convenience of screw retention, and avoids any concerns regarding retained cement at the implant site, with greater control over the design of the emergence profile. By combining these features, doctors get another tool in their arsenal for tackling various restorative challenges.
We offer an array of restorative options for every region of the mouth, including BruxZir® Full-Strength Zirconia, BruxZir Esthetic, IPS e.max, Obsidian® Fused to Metal, Bilayered Clinical Zirconia and Obsidian All-Ceramic. By working with you from the planning stage to the final restoration, we are dedicated to helping you achieve precise gingival margins, a comfortable fit and optimum esthetics for your patients. Deliver Glidewell screwmentable with maximum ease as well as the confidence afforded by our no-fault lifetime warranty for custom abutments and BruxZir implant crowns.

Clinical Studies

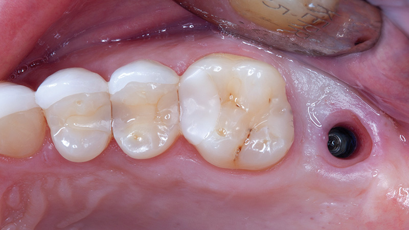
BEFORE: Screw retention was not an ideal choice for this patient due to an unfavorable distribution of sheer forces at the implant site. Instead, a screwmentable crown restoration with a custom abutment was chosen to achieve better angulation of the implant.

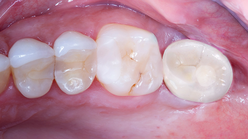
AFTER: The final restoration was seated and delivered demonstrating improved distribution of functional forces, cleanability and support provided by the custom abutment for better long-term health of the implant site.
- Slide 1
There are unique situations and restorative challenges that call for a screwmentable solution, affording clinicians one more option as we look to meet the wide-ranging needs of our patients.
Indications
Screwmentable restorations are prosthetic components that connect directly to endosseous dental implants and are intended for use as an aid in prosthetic rehabilitation of missing teeth.
Material Composition
Monolithic zirconia, lithium disilicate or lithium silicate ceramic with titanium base; lithium silicate ceramic fused to noble or white high noble metal
Number of Implant Restorations Produced
4 million
Strength Characteristics
- BruxZir Full-Strength: > 1,000 MPa of flexural strength
- BruxZir Esthetic: 870 MPa of flexural strength
- IPS e.max: 500 MPa of flexural strength
- Obsidian Fused to Metal: 397 MPa of flexural strength
In-Lab Working Times
- Standard: 13 days (includes fabrication time for custom abutment and crown)
- From digital impression: 13 days (includes fabrication time for custom abutment and crown) for BruxZir Full-Strength, BruxZir Esthetic, Obsidian All-Ceramic and IPS e.max
Pricing
BruxZir Full-Strength crown with custom abutment1
|
$475.00 |
BruxZir Esthetic crown with custom abutment1
|
$486.00 |
IPS e.max crown with custom abutment1
|
$519.00 |
Bilayered Clinical Zirconia crown with custom abutment1
|
$529.00 |
See custom abutments section for implant system compatibility.
Save $40 off list price for custom abutment with model-free restoration cases produced from digital impressions. Bilayered Clinical Zirconia not eligible for digital savings.
Pricing is subject to change and does not include shipping or applicable taxes.
Implant System Compatibility
Flat-rate price available for BioHorizons® Tapered Internal; BIOMET 3i™ Certain®; CAMLOG® SCREW-LINE; DENTSPLY Implants ANKYLOS® C/X, ASTRA TECH Implant System® and ASTRA TECH Implant System® EV; Glidewell HT® Implant System; Hahn™ Tapered Implant System; HIOSSEN® HG System; Implant Direct® InterActive®, Legacy® and RePlant®; Inclusive® Tapered Implant System; Keystone® Dental PrimaConnex®; MegaGen AnyRidge® Implant System; MIS® C1 Implant System and SEVEN®; NeoDent® GM; Neoss® ProActive Narrow® and Standard®; Nobel Biocare Brånemark System® RP, NobelActive® and NobelReplace®; Straumann® BLX, Bone Level, Bone Level SC and Tissue Level; and Zimmer Dental Eztetic® and Screw-Vent®. Prices may vary for other implant systems due to the need for original equipment manufacturer (OEM) components.
Inclusive is a registered trademark of Prismatik Dentalcraft, Inc. Glidewell HT and Hahn are trademarks of Prismatik Dentalcraft, Inc. All other trademarks are property of their respective owners.
Policies & Warranty
NO-FAULT REMAKE POLICY: Glidewell is pleased to process all remakes or adjustments at no additional charge if requested within the warranty period and accompanied by the return of the original appliance.
LIMITED WARRANTY/LIMITATION OF LIABILITY. Glidewell (“the lab”) warrants that all dental devices (a “device”) are made according to your specification and approval in the belief that the device will be useful and MAKES NO OTHER WARRANTIES INCLUDING, BUT NOT LIMITED TO, ANY IMPLIED WARRANTY OF MERCHANTABILITY OR FITNESS FOR A PARTICULAR PURPOSE. Subject to the return of a device that is placed and then fails, the lab will repair or replace the device without charge for the cost of materials and workmanship or refund the original price paid, at the lab’s option, for the life of the patient originally receiving the restoration from the date of placement for BruxZir Zirconia screw-retained crowns and bridges, and up to for the life of the patient originally receiving the restoration from the date of placement for BruxZir Zirconia screw-retained crowns and bridges, and up to 7 years for porcelain to metal, ceramic to metal, and all-ceramic (except BruxZir Zirconia) screw-retained crowns and bridges.
Clinical Tips
Take an implant-level impression utilizing the preferred technique (direct, indirect, or intraoral scan).
- Remove the healing abutment from each implant and immediately replace it with an open- or closed-tray impression coping. NOTE: It’s important to seat the impression coping quickly to avoid soft-tissue collapse.
- Connect the impression coping to the implant and take a radiograph to verify that the impression coping is seated correctly.
- Inject light-body syringe material around each impression coping. Fill the tray with medium or heavy body and record the impression.
- Submit the impression to the laboratory.
For detailed instructions for open- and closed-tray impressions, see our Impression-Taking Techniques guide.