BruxZir® Zirconia: Restorative Dentistry’s Recession-Buster

Discover How BruxZir® Zirconia dental restorations can help your practice in times of economic uncertainty.

December 10, 2024
 image
Smile Bulletin Staff
Glidewell
BruxZir Zirconia Restorative Dentistrys Recession Buster

BruxZir® Zirconia was launched at the height of the Great Recession. Its original purpose was to serve as an affordable alternative to cast-gold restorations, with the added benefits of being metal-free and tooth-colored. Early on, we heard back from our customers that the material was not only helping dentists survive the economic downturn, but also empowering them to reach new levels of practice profitability — with dentists attributing the growth to BruxZir Zirconia’s affordability, ease of use and reliability.

Today, as economists and pundits debate whether another recession might be just around the corner, it is a perfect time to evaluate whether BruxZir Zirconia can be a solution for your practice. The BruxZir brand is defined by so much more than just affordability, and now includes multiple zirconia formulations, each with its own ideal use. Continue reading to learn more about BruxZir Zirconia and how it can help your practice in times of economic uncertainty.

How Can BruxZir Help My Practice in an Uncertain Economy?

example image

BruxZir Zirconia offers significant benefits that can set your practice up for success — and these benefits can be even more critical in times of uncertainty. When you choose BruxZir Zirconia, you get reliability, ease of use, quick turnaround times, an unbeatable warranty, unconditional remakes and more. Most importantly, these benefits are made affordable to you thanks to BruxZir Zirconia’s everyday low price.

1. Affordability

From the earliest concept of BruxZir Zirconia, the team at Glidewell has worked to make affordability a core tenet of the brand. This was in part due to the original purpose of the material, which was to be a cast gold or PFM replacement. A major challenge with metal-based restorations is that the price is ever-shifting because of the commodity metals market, meaning that dentists are at the mercy of swift and sudden price changes. BruxZir Zirconia escapes this problem because it isn’t tied to a commodity like gold, platinum or silver. Instead, the ingredients and processes used in the brand lend themselves to price consistency.

If you submit a digital impression, you can prescribe BruxZir Full-Strength for just $89 per unit, BruxZir Esthetic for just $99 per unit, and BruxZir Radiant for just $129 per unit.

In an era when patients are increasingly price-conscious, the predictable, low prices of BruxZir gives practitioners greater ability to offer care that patients can say “yes” to.

2. Ease of Use

The BruxZir solutions today allow for minimal preparation and support multiple cementation methods, with both luting and bonding indicated. See the “How to Prep and Cement Zirconia Crowns” blog post for a step-by-step guide. For the dental practitioner, this usability means a straightforward chairside experience and predictable results.

3. Speed

BruxZir® Zirconia: Restorative Dentistry’s Recession-Buster

Thanks to the advanced workflows used to fabricate BruxZir restorations, most cases today only require 3 days in lab. This means your patients spend less time in temporaries and complete treatment much faster than virtually any other lab-provided product.

At Glidewell, we’ve invested heavily in technology to ensure that speed is always accompanied by quality. In practice, this means that the entire fabrication process is computer-controlled, with AI assisting experienced technicians with design and quality control to eliminate human variability or error.

4. Reliability

The BruxZir Zirconia brand is also defined by reliability. Don’t just take our word for it. Trusted third-party researchers have also confirmed the dependability of the materials. The independent Gordon J. Christensen Clinicians Report® has conducted in-depth clinical evaluations on monolithic zirconia for more than a decade. In September 2020, CR Report published the results of its 10-year clinical study and concluded that the original BruxZir Full-Strength Zirconia demonstrated excellent durability, exhibited zero terminal fractures and provided the margin of safety needed to survive common clinical abuses.1 Compared to the 15 other zirconia brands being followed by the organization at the time, which represented various zirconia formulations from around the world, the original BruxZir Zirconia was the only material that had zero fractures and 100% survival for the full 10-year period. This reliability means fewer appointments to replace broken crowns and fewer disappointed patients.

5. Warranty

BruxZir® Zirconia: Restorative Dentistry’s Recession-Buster

For added peace of mind, Glidewell provides the free BruxZir Lifetime Warranty with every BruxZir case. Should anything happen to the restoration during the patient’s lifetime, Glidewell will provide the dentist with a replacement for free. Make no mistake — BruxZir restorations demonstrate exemplary performance, even a decade or more after initial placement. It is this proven track record that gives us confidence in the material, and we want to ensure our customers can share in that confidence as well.

6. Unconditional Remakes

If for any reason you’re not completely satisfied with your BruxZir restorations, Glidewell is pleased to process all remakes or adjustments at no additional charge. The no-fault remake policy guarantees that you receive the results you want — and, if not, we’re committed to making it right at no cost to you.

7. Free Replacement Program

BruxZir® Zirconia: Restorative Dentistry’s Recession-Buster

At Glidewell, we’re certain that BruxZir Zirconia is the best zirconia for your practice. In fact, if you use any other brand of zirconia crown and experience a failure, we’ll replace your other zirconia with genuine BruxZir Zirconia for free. It doesn’t matter where you ordered the crown from. There’s no opt-in or purchase necessary. If you experience a broken zirconia crown, simply call the Glidewell customer service team at 800-854-7256 or go to the Free Replacement Program webpage and we’ll get you a free BruxZir replacement.

What is BruxZir Zirconia?

example image

BruxZir Zirconia is a family of dental materials that’s great for patients who require durable, affordable and high-performing restorations.

Prior to the launch of BruxZir Zirconia, dentists historically relied on metal and PFM restorations when the oral situation demanded strength and longevity. But most patients today don’t appreciate having metal showing in their mouths, and some patients even have metal allergies.

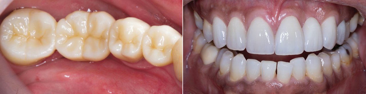
When Glidewell’s BruxZir Zirconia was released in 2009, it provided a level of versatility never previously seen with tooth-colored dental materials. BruxZir Zirconia’s high strength meant that it could be used for virtually any restorative indication, including crowns, bridges, veneers, inlays and onlays, screw-retained crowns & bridges, and full-arch implant prostheses. The release of BruxZir Zirconia played a significant role in the evolution of restorative dentistry, with it and its all-ceramic contemporaries making metal restorations a thing of the past nearly overnight. Now, dentists can rely on all-ceramic restorations whenever their patients need high-strength, long-lasting crowns & bridges.

BruxZir® Zirconia: Restorative Dentistry’s Recession-Buster

At Glidewell, we have spent almost two decades innovating in the field of dental zirconia. Through this progress, BruxZir Zirconia has transformed from a solution solely focused on strength to one that also offers patient-pleasing esthetics. Now there are multiple formulations available to best suit dentists’ needs.

What is the Difference Between BruxZir Materials?

example image

Today there are three varieties of BruxZir Zirconia: BruxZir Full-Strength ZirconiaBruxZir Esthetic Zirconia and BruxZir Radiant. The full-strength formulation is great for clinical situations that require the toughest of materials. The esthetic version is designed for cases that demand a combination of beauty of strength. And BruxZir Radiant is designed for cases that require an elevated appearance, with the material featuring translucency that matches that of the leading glass ceramic. Regardless of which you choose, all three formulations are among the strongest tooth-colored solutions available to patients today.

In terms of their composition, the big difference between the materials is the amount of yttrium oxide (yttria) in their respective formulations. Yttria acts as a stabilizing agent and is a key component in all zirconia brands today. To put its effect very simply, as yttria is added to the mix, strength decreases and translucency increases.

So BruxZir Full-Strength has less yttria and is stronger than BruxZir Esthetic and BruxZir Radiant. While BruxZir Esthetic and BruxZir Radiant have more yttria and are more translucent and more lifelike in appearance than BruxZir Full-Strength. Though BruxZir Esthetic and BruxZir Radiant are less strong than BruxZir Full-Strength, all BruxZir materials still outclass other non-zirconia ceramic solutions, like lithium disilicate, feldspathic porcelain or bilayered ceramics. The superior strength of monolithic zirconia affords a wider range of uses.

BruxZir® Zirconia: Restorative Dentistry’s Recession-Buster

Here is what the practitioner needs to know about the three BruxZir materials:

BruxZir Full-Strength Zirconia is designed for virtually any clinical situation that demands a tough, lasting material — even if the oral scenario only allows for minimal space because BruxZir Full-Strength requires only 0.5 mm of reduction. It can be used for crowns, bridges up to 16 units, veneers, inlays and onlays, screw-retained implant crowns & bridges, and full-arch implant prostheses.

BruxZir Esthetic provides more versatility in that it has an appearance suited for both the anterior and posterior while still offering notable strength. Glidewell customers use it throughout the anterior, especially in cases where the patient has preexisting zirconia restorations in the posterior. When compared to other tooth-colored options, BruxZir Esthetic matches much more naturally with other zirconia. The material is great for anterior and posterior single-unit crowns, anterior bridges up to 6 units, posterior bridges up to 4 units, veneers, inlays and onlays, screw-retained implant crowns & bridges, and full-arch implant prostheses.

BruxZir Radiant is designed to match the beauty of glass ceramics. It offers an irresistible, luxurious appearance like no other zirconia. When compared to the leading glass ceramics, BruxZir Radiant surpasses their translucency while also providing greater durability. The material is ideal for crowns, bridges up to 3 units, veneers, inlays and onlays.

Conclusion

When you choose BruxZir Zirconia, you can rest assured that you’re getting a material that’s reliable, easy to use and a boon for your practice. These benefits add up to make your everyday routine simpler and more predictable, recession-proofing your practice and empowering you to spend more time concentrating on patients.

References

  1. An independent, nonprofit, dental education and product testing foundation, Clinicians Report, September, 2020. For full report, go to bruxzir.com/10-year. Study result apply to BruxZir 2009 3Y zirconia.

  2. Randi W, Randi A, Hill T. (2017). Evaluation of biaxial flexural strength and fracture toughness of a zirconia-reinforced dental ceramic. 47th Annual Session of the American College of Prosthodontists. Available from: highlights.ivoclarvivadent.com/dentist/en/ips-e.max-cad

  3. Giordano RA 2nd, Pelletier L, Campbell S, Pober R. Flexural strength of an infused ceramic, glass ceramic, and feldspathic porcelain. J Prosthet Dent. 1995 May;73(5):411-8.

Send blog-related questions and suggestions to hello@glidewell.com.

Crown & Bridge
Implant Surgery
Implant Restoration
Esthetic Dentistry
Digital Dentistry