Replacing a Single Posterior Crown in One Appointment

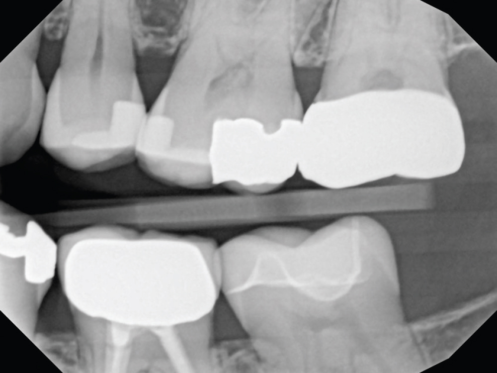
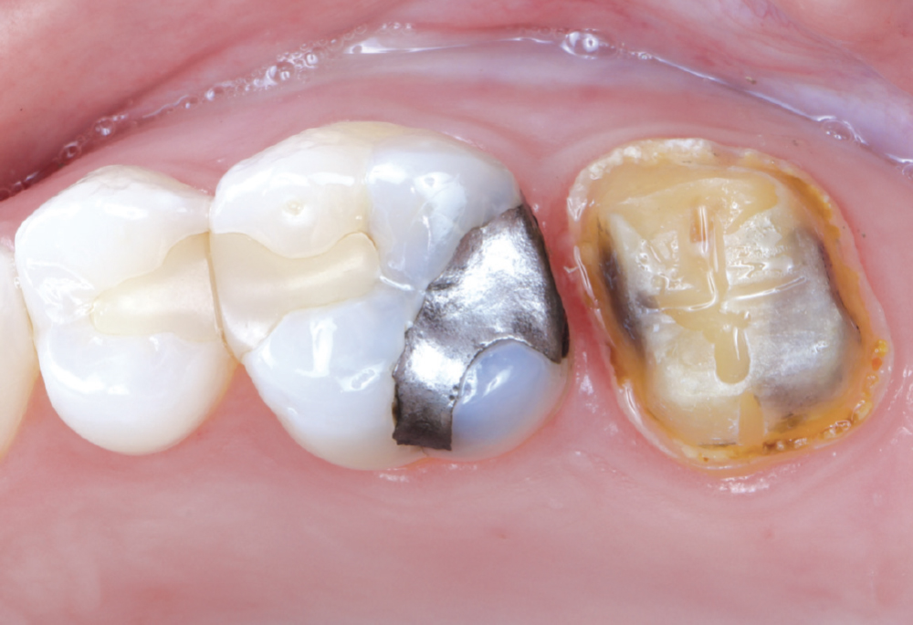
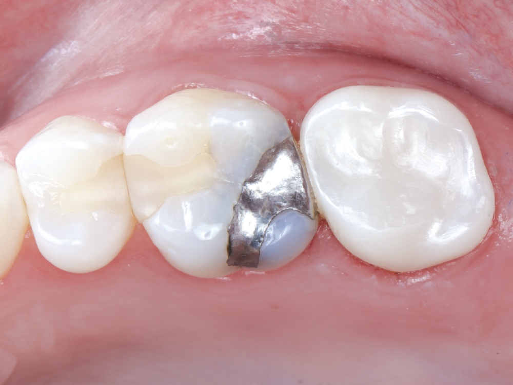
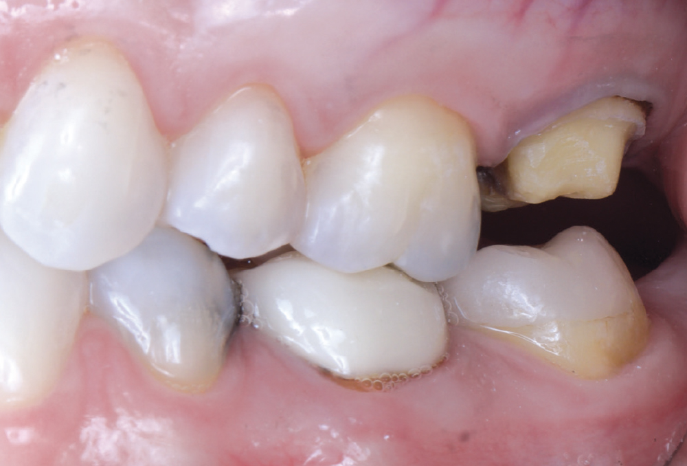
Even though she is a dental hygienist, Nikole decided to wait it out when she was told her crown on tooth #15 had an open margin. But over time, she noticed the area started to shred her floss. That’s when she decided it was time for the crown to be replaced.
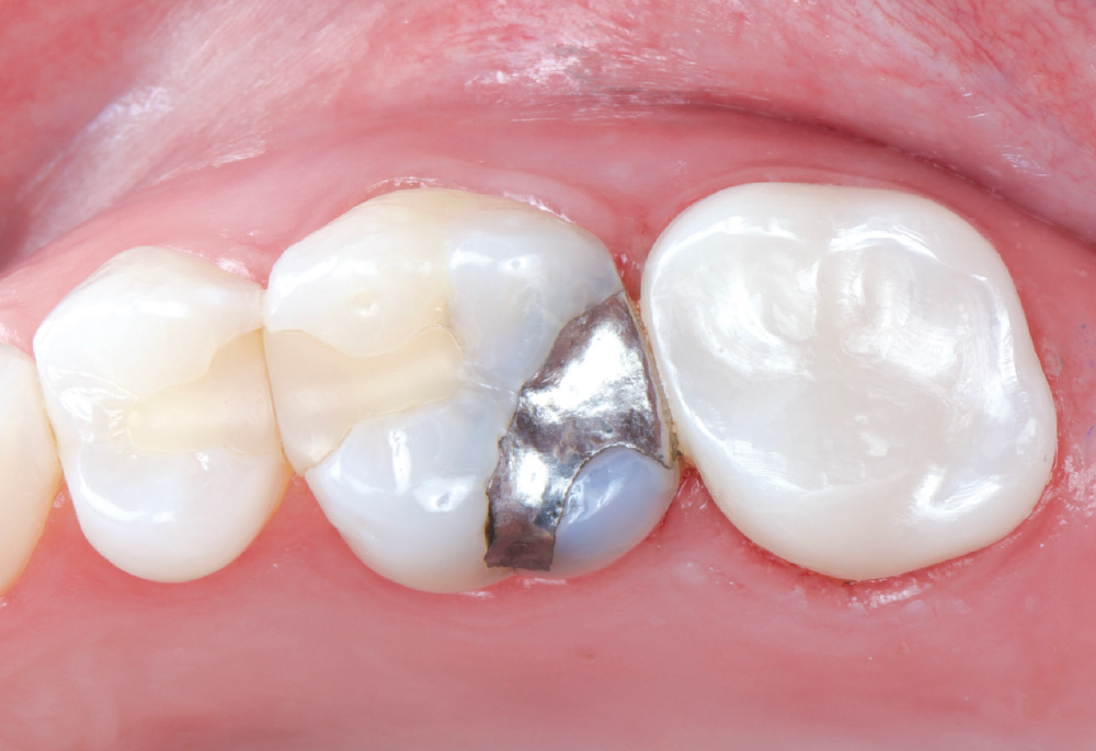
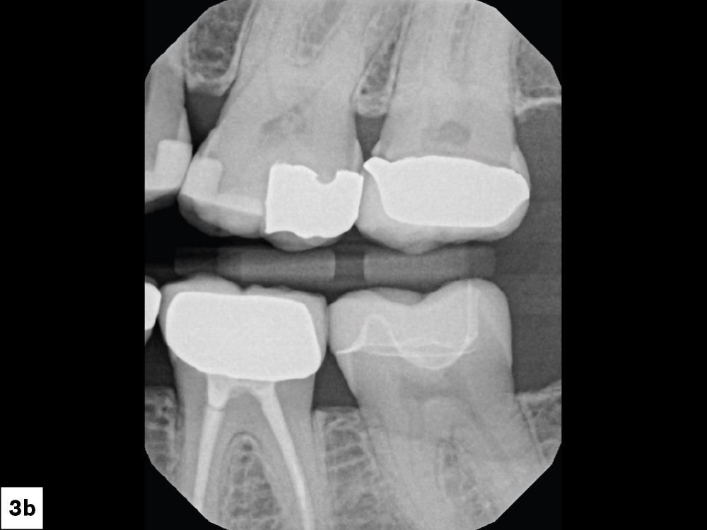
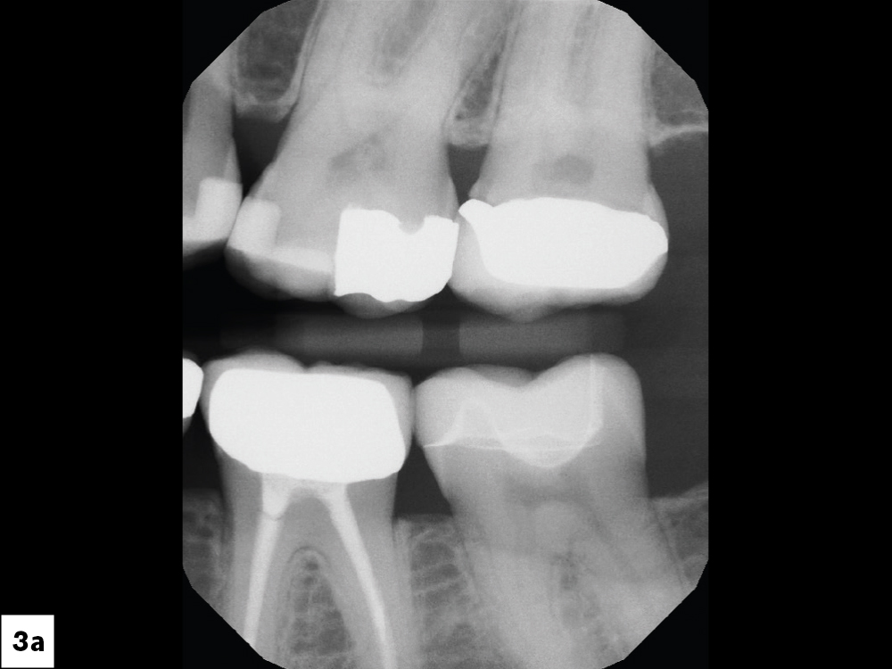
Because the patient had high expectations for her restoration, I selected a BruxZir® Esthetic NOW Posterior Milling Block for its combination of esthetics and strength. Though BruxZir Esthetic was originally developed with the anterior in mind, with a yttria content that enhances the overall translucency and color, the material still maintains an excellent flexural strength of 870 MPa, meaning it is sufficiently strong enough to be used anywhere in the arch.
CASE REPORT
CONCLUSION
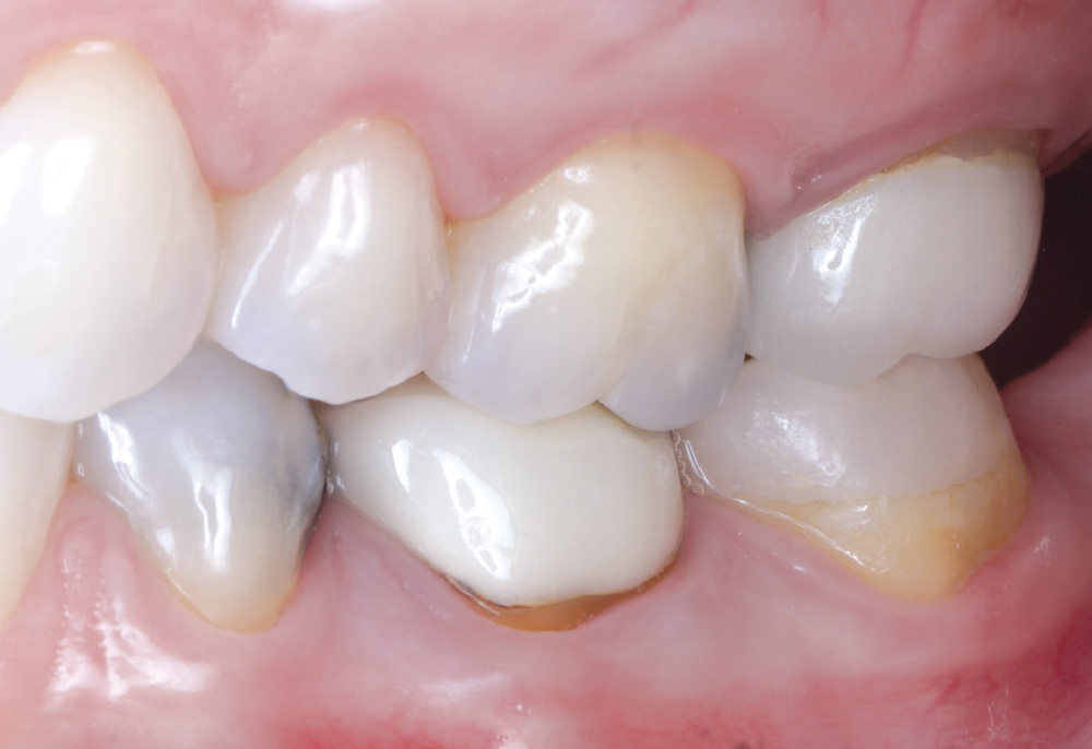
I enjoy using the glidewell.io system because I can provide a high-quality, same-day restoration. I’m in control of the contacts, shape, color and fit. The crown fits with minimal adjustments needed.
This was Nikole’s first experience with same-day dentistry, and she summed it up best: “I’m a fan! The new crown fit perfectly, with no return visit, no second round of anesthesia and barely any adjustments. The contacts are spot on, and flossing feels smooth.”
All third-party trademarks are property of their respective owners.