Same-Day Screw-Retained Zirconia Restorations: A Fully Integrated Digital Workflow (1 CEU)

February 9, 2026
 image
Isaac Tawil, DDS, M.S.
 image
Bushra Imam, BDS
Same-Day Screw-Retained Zirconia Restorations

The integration of chairside digital technology has redefined how clinicians approach implant rehabilitation. What once required multiple appointments, provisional restorations, and laboratory coordination can now be completed within a single visit. The convergence of guided surgery, high-accuracy scanning, AI-driven design, and in-office milling has created a workflow that is efficient and predictable in both function and esthetics. A recent case demonstrates this evolution.

CASE REPORT

She entered the office that morning missing two premolars and left a few hours later with final, monolithic zirconia restorations that were both functional and esthetically pleasing-a
She entered the office that morning missing two premolars and left a few hours later with final, monolithic zirconia restorations that were both functional and esthetically pleasing-b
She had no medical contraindications and expressed a strong desire for a rapid restoration of her smile
Both sides had healed from previous extractions. Site #5 exhibited sufficient bone width and height for immediate implant placement

Figures 1a–1d: A young, healthy female patient presented with two edentulous premolar sites in the areas of teeth #5 & #12. She had no medical contraindications and expressed a strong desire for a rapid restoration of her smile. Both sides had healed from previous extractions. Site #5 exhibited sufficient bone width and height for immediate implant placement, while site #12 presented with a thin buccal plate that required simultaneous grafting to enhance ridge contour and long-term stability. The patient’s motivation and the precision afforded by guided surgery made this an excellent case for a same-day digital implant workflow incorporating immediate bone augmentation.

Comprehensive records were obtained, including a CBCT scan and a full-arch intraoral scan

Figure 2: Comprehensive records were obtained, including a CBCT scan and a full-arch intraoral scan. The data was transmitted to Glidewell’s Digital Treatment Planning (DTP) department, where the restorative and surgical plans were developed concurrently. The implants were virtually positioned to achieve ideal emergence profiles, screw-retained trajectories, and prosthetically driven alignment within the available bone.

Once verified, a fully guided sleeveless surgical guide was digitally returned to the practice allowing in-office printing without the need for gluing in metal sleeves

Figure 3: Once verified, a fully guided sleeveless surgical guide was digitally returned to the practice allowing in-office printing without the need for gluing in metal sleeves. The guide was printed in roughly 20 minutes using surgical resin.

Surgery was performed under local anesthesia with the printed guide securely seated for full control of angulation and depth
Two Glidewell HT™ Implants (Glidewell Direct; Irvine, Calif.) were placed according to the digital plan, achieving excellent primary stability-b
Two Glidewell HT™ Implants (Glidewell Direct; Irvine, Calif.) were placed according to the digital plan, achieving excellent primary stability-c

Figures 4a–4c: Surgery was performed under local anesthesia with the printed guide securely seated for full control of angulation and depth. Two Glidewell HT™ Implants (Glidewell Direct; Irvine, Calif.) were placed according to the digital plan, achieving excellent primary stability.

Resonance Frequency Analysis (RFA) was used to confirm an Implant Stability Quotient (ISQ) appropriate for immediate loading
Resonance Frequency Analysis (RFA) was used to confirm an Implant Stability Quotient (ISQ) appropriate for immediate loading-b
Resonance Frequency Analysis (RFA) was used to confirm an Implant Stability Quotient (ISQ) appropriate for immediate loading-c

Figures 5a–5c: Resonance Frequency Analysis (RFA) was used to confirm an Implant Stability Quotient (ISQ) appropriate for immediate loading.

At site #12, the buccal plate was found to be thin and deficient, necessitating simultaneous grafting

Figure 6: At site #12, the buccal plate was found to be thin and deficient, necessitating simultaneous grafting. Allograft was placed to restore the buccal contour and covered with a collagen membrane to stabilize the graft and support hard- and soft-tissue regeneration. The combination of guided precision and immediate augmentation ensured optimal implant positioning and ridge preservation. The total surgical time for both implants, including grafting and membrane placement, was approximately one hour.

Allograft was placed to restore the buccal contour and covered with a collagen membrane to stabilize the graft and support hard- and soft-tissue regeneration
Immediately after placement, scan bodies were threaded in place, and the surgical field was scanned

Figures 7a, 7b: Immediately after placement, scan bodies were threaded in place, and the surgical field was scanned. The scans were imported directly into the fastdesign.io Software and Design Station, the CAD platform that communicates seamlessly with the fastmill.ioIn-Office Mill.

The fastdesign.io software automatically recognized the implant platforms and the geometry of the BruxZir® NOW SRC zirconia milling blocks prefabricated with attached titanium bases
This new milling block design represents a significant leap forward in chairside implant restoration

Figures 8a, 8b: The fastdesign.io software automatically recognized the implant platforms and the geometry of the BruxZir® NOW SRC zirconia milling blocks prefabricated with attached titanium bases. This new milling block design represents a significant leap forward in chairside implant restoration. Traditionally, milled zirconia restorations require a secondary bonding step in which the crown is luted to a separate titanium base after milling. This added complexity introduces potential for misalignment and creates a junction that can weaken over time if not executed perfectly. By contrast, the new BruxZir NOW SRC zirconia blocks integrate the Ti-base directly into the milling blank at the manufacturing stage, creating a monolithic restorative unit with a precise, factory-verified interface. This eliminates bonding errors, ensures consistent torque stability, and allows the restoration to be seated immediately after milling with exceptional fit.

Two screwretained crowns were designed with precise occlusal morphology and customized emergence profiles to support the peri-implant soft tissue-a
Two screwretained crowns were designed with precise occlusal morphology and customized emergence profiles to support the peri-implant soft tissue-b

Figures 9a, 9b: Using the AI-assisted design tools in the fastdesign.io software, which allow for automatic alignment of scan body scans, the design process can be completed in about 10 minutes. Two screw-retained crowns were designed with precise occlusal morphology and customized emergence profiles to support the peri-implant soft tissue. The integrated Ti-base geometry within the block ensured that the digital design translated seamlessly into the physical restoration, maintaining the precision of the connection and allowing the restorations to be delivered immediately after milling, without the need for sintering, bonding, or additional post processing.

Once verified, the restorations were sent to the fastmill.io unit for fabrication

Figure 10: Once verified, the restorations were sent to the fastmill.io unit for fabrication. The compact mill, which operates without an external air compressor — making it quieter than other in-office mills on the market — was loaded with the BruxZir NOW SRC blocks.

The fastmill.io unit milled each restoration in approximately thirty-five minutes
Because the zirconia is fully sintered, no oven firing, sintering, or glazing cycle was required

Figures 11a, 11b: The fastmill.io unit milled each restoration in approximately thirty-five minutes. Because the zirconia is fully sintered, no oven firing, sintering, or glazing cycle was required. After light polishing utilizing the BruxZirAdjustment & Polishing Kit (Glidewell Direct), the crowns were ready for delivery the same day.

Occlusal contacts required only minor adjustments
Each screw-retained crown was seated onto the corresponding Glidewell HT Implant, torqued to the manufacturer’s specifications, and sealed with PTFE tape and composite resin

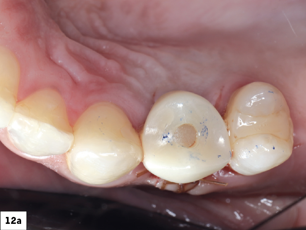
Figures 12a, 12b: Each screw-retained crown was seated onto the corresponding Glidewell HT Implant, torqued to the manufacturer’s specifications, and sealed with PTFE tape and composite resin. Occlusal contacts required only minor adjustments. Occlusion was relieved in the design phase to promote undisturbed osseointegration and eliminate premature loading. The fit was passive, the emergence contours harmonious, and the esthetic integration excellent.

At the one-week follow up, both implants demonstrated excellent integration with healthy peri-implant tissues and no inflammation-a
At the one-week follow up, both implants demonstrated excellent integration with healthy peri-implant tissues and no inflammation-b
At eight weeks, mature keratinized mucosa framed the zirconia crowns with stable crestal bone levels and ideal emergence profiles were confirmed radiographically-c
At eight weeks, mature keratinized mucosa framed the zirconia crowns with stable crestal bone levels and ideal emergence profiles were confirmed radiographically-d

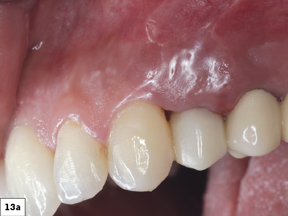
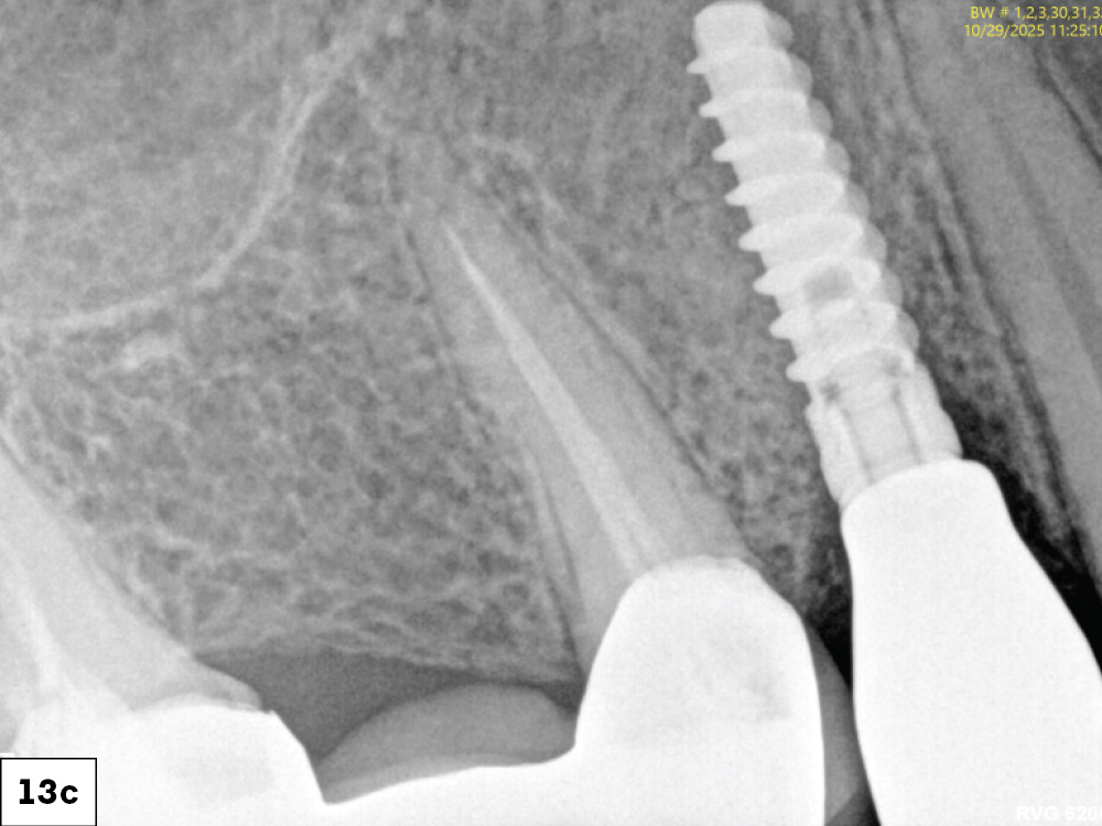
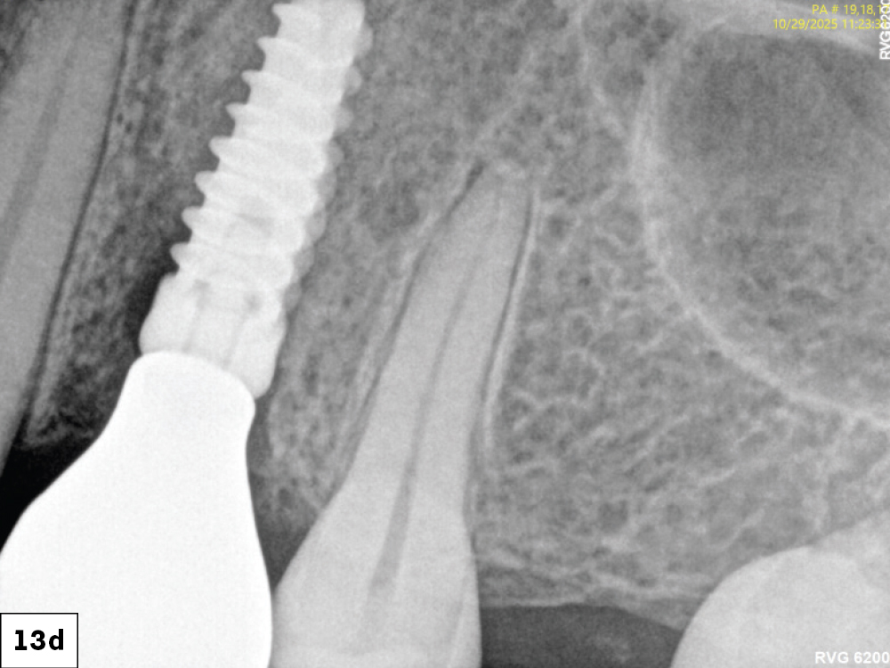
Figures 13a–13d: At the one-week follow up, both implants demonstrated excellent integration with healthy peri-implant tissues and no inflammation. At eight weeks, mature keratinized mucosa framed the zirconia crowns with stable crestal bone levels and ideal emergence profiles were confirmed radiographically.

The transformation for the patient was immediate
She entered the office that morning missing two premolars and left a few hours later with final, monolithic zirconia restorations that were both functional and esthetically pleasing

Figures 14a, 14b: The transformation for the patient was immediate. She entered the office that morning missing two premolars and left a few hours later with final, monolithic zirconia restorations that were both functional and esthetically pleasing. She expressed disbelief that the entire process from implant placement to definitive restoration could be completed in one visit.

CASE ANALYSIS

Traditionally, immediate implant cases require interim prostheses fabricated either from a 3D-printed template or from chairside acrylic using a surgical stent. While effective, these provisional restorations demand additional time and offer limited esthetics and strength. They also introduce biologic challenges: repeated connection and removal of temporary cylinders, exposure of healing tissues, and potential disruption of the developing soft-tissue seal. Delivering definitive zirconia restorations at the time of surgery eliminates these intermediate steps and their inherent risks. The peri-implant mucosa can adapt immediately to a stable emergence profile, reducing tissue remodeling and improving long-term esthetics.

From a biologic perspective, same-day definitive loading under proper conditions supports tissue preservation. The implants in this case were placed with high primary stability, allowing for immediate functional loading within physiological limits. The zirconia crowns provided a rigid, stable interface that guided soft-tissue maturation from day one. By grafting at the thinner site, natural bone contours were maintained, reducing surgical morbidity and healing time. The tissue healed predictably around the definitive form without repeated trauma or remodeling.

Digitally integrated workflows also enhance precision. Guided implant placement through Glidewell’s DTP department ensured the implants were aligned along the ideal restorative axis, facilitating screw-retained design and eliminating off-angle screw access. Intraoral scanning provided digital accuracy beyond what traditional impression materials could achieve, capturing the true position of the scan bodies without distortion. The fastdesign.io software translated that data directly into restorations that matched the virtual plan with negligible deviation. The combination of these systems, each digitally communicating within the same ecosystem, created a closed loop of accuracy from surgical plan to final restoration.

Efficiency is another defining benefit. Although the digital planning was completed a few days prior through Glidewell’s DTP department, the clinical execution from guide fabrication to surgery, design, and milling was accomplished in a single appointment. The guided plan was received digitally within a day, the sleeveless guide printed in twenty minutes, surgery completed in about an hour, design in 10 minutes, and milling finished within forty minutes. This level of integration and speed would have been unimaginable only a few years ago. Traditional workflows often require three to four visits and weeks of laboratory coordination.

The patient’s satisfaction reflected the clinical success. She left the office with definitive restorations, avoided the inconvenience of temporaries, and resumed normal activities the same day. Beyond function and esthetics, same-day treatment restored her confidence immediately and minimized postoperative discomfort.

For the clinician, integrating this digital workflow offers both precision and independence. The ability to scan, design, and mill screw-retained zirconia crowns in-office elevates quality control and eliminates delays tied to laboratory coordination. The process reduces variability, shortens turnaround time, and keeps the entire restorative sequence within the practice while freeing valuable chair time for additional cases.

This case illustrates the new standard for same-day implant rehabilitation. The combination of Glidewell HT Implants, a sleeveless surgical guide printed in-office, along with the fastmill.io and fastdesign.io systems, allows clinicians to produce definitive screw-retained zirconia restorations immediately after placement without sacrificing accuracy or durability. The pre-attached Ti-base design simplifies fabrication, and the integration of advanced glidewell.io scanning further enhances efficiency.

Ultimately, this workflow emphasizes tissue preservation through precision. The result is a streamlined, minimally invasive approach that delivers both biological integrity, superior esthetics and patient satisfaction.

For today’s clinician, the ability to provide screw-retained, fully sintered zirconia restorations within a single visit represents the culmination of digital evolution. The workflow is efficient, predictable, and transformative, turning what was once exceptional into the new standard of care.